图片 牙齿不齐正畸案例_腾讯体育app下载_腾讯体育直播-中文官网
美牙热线:400-8888-888
    当前位置:腾讯体育app下载_腾讯体育直播-中文官网 > 关于医院 > 康复案例 >
牙齿不齐正畸案例
来源:腾讯体育app下载_腾讯体育直播-中文官网 更新时间:2015-04-06 11:09 点击:
新年特惠送祝福

牙齿不齐阻挡不了我的“幸福路”
  
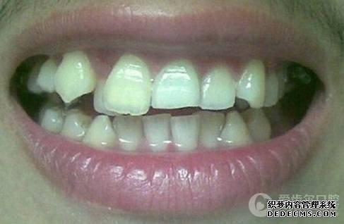
  基本信息:项先生,29岁,IT,经朋友介绍就诊
  
  患者自述:眼看快到而立之年,身边好友都已成家立业,可我依然孤身一人,难免有些落寞。可是因为牙齿不齐,让我总是缺乏自信,性格也变得内向腼腆,几次相亲都被心仪的女孩拒绝。为了不被自卑心吞噬,我决定通过牙齿正畸改变自己,给自己一次幸福的机会。
  
  临床诊断:通过3D数字化全景机的拍片检查,患者上下牙排列拥挤,前牙受挤压向内歪斜,咬合关系异常,唇形尚可,颞下颌关节检查未见异常,无蛀牙、牙周疾病症状。经过和患者商量,选定自锁托槽矫正方案,调整牙间隙,恢复牙齿的正常排列,实现正常的咬合关系。

矫正前旧照  
矫正前旧照
  
矫正前照片
矫正前照片

全景机侧位片
全景机侧位片

全景机正位片
全景机正位片
  
取牙颌模型
取牙颌模型
  
佩戴矫治器
佩戴矫治器
  
矫正中
矫正中
  
佩戴保持器 
佩戴保持器
  
矫正完成 
矫正完成

矫正完成
  案例回访:1年半的矫治后牙列变整齐,咬合关系正常,摘掉牙套后的项先生,感觉到了从未有过的轻松,整个人变得自信起来,同事和领导都感叹牙齿矫正带来的正能量。如今,项先生不仅在职位上得到了晋升,同时还收获了一份爱情,组成了自己的幸福小家庭!

温馨提示:当文章不能完全解决您的问题时,请点击在线咨询与西宁京瑞口腔专家一对一交流!打字不方便的朋友可拔打我院24小时咨询热线:09718222218,与专业口腔医生进行语音交流。
    西宁京瑞口腔以专业的心,做专业的事!现在进行网上预约,享受"优惠活动",不用排队,节省您的时间和精力!